phone

+351 276 351 167

|
mail

chaves@clinicasarranz.dental

All-on-Four

Our Clinical Focus

Discover how we transform smiles with advanced techniques and immediate results

At Arranz Dental, the All-on-Four treatment and any immediate load procedure —meaning placing the prosthesis (teeth) on the same day as the surgery— is much more than a technique: it is a commitment to immediate, personalized, and long-lasting results.


We rehabilitate complete or partial jaws —upper or lower— in a single day, placing 1, 2, 4, or 6 implants strategically distributed to offer maximum stability, functionality, and comfort from the very first moment.

people

Complex cases

For cases of severe bone loss, we apply advanced procedures such as zygomatic implants—a highly specialized solution performed by few professionals due to its complexity. In our region, this technique is performed by Dr. Mariano Arranz, allowing us to successfully treat even the most complex cases.

Complementary Procedures

In addition to implant placement, we perform complementary procedures such as

Sinus lift

Wisdom tooth extraction

Computer-guided surgeries

Bone and tissue grafts

Guided ridge augmentation

Cysts, biopsies and other oral surgeries

Complementary Procedures

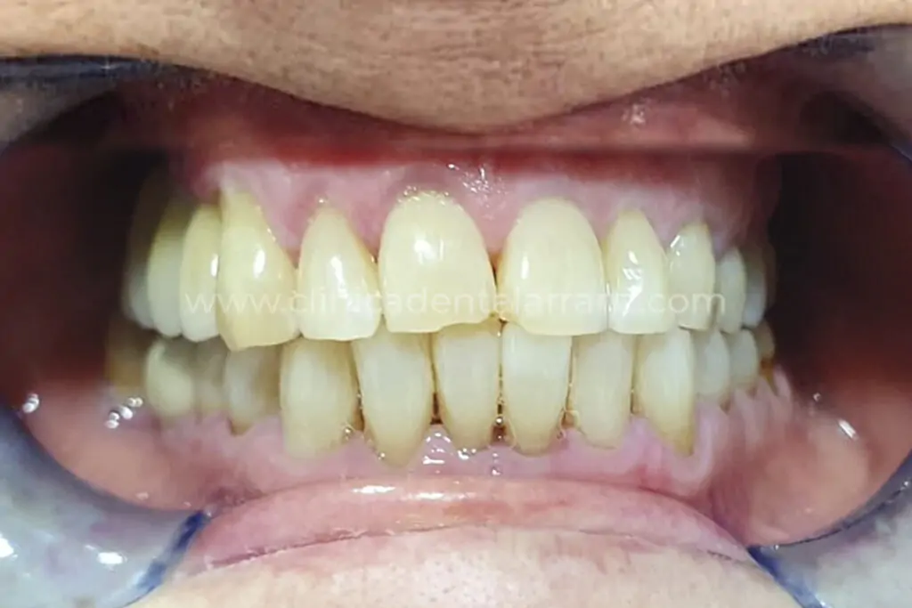
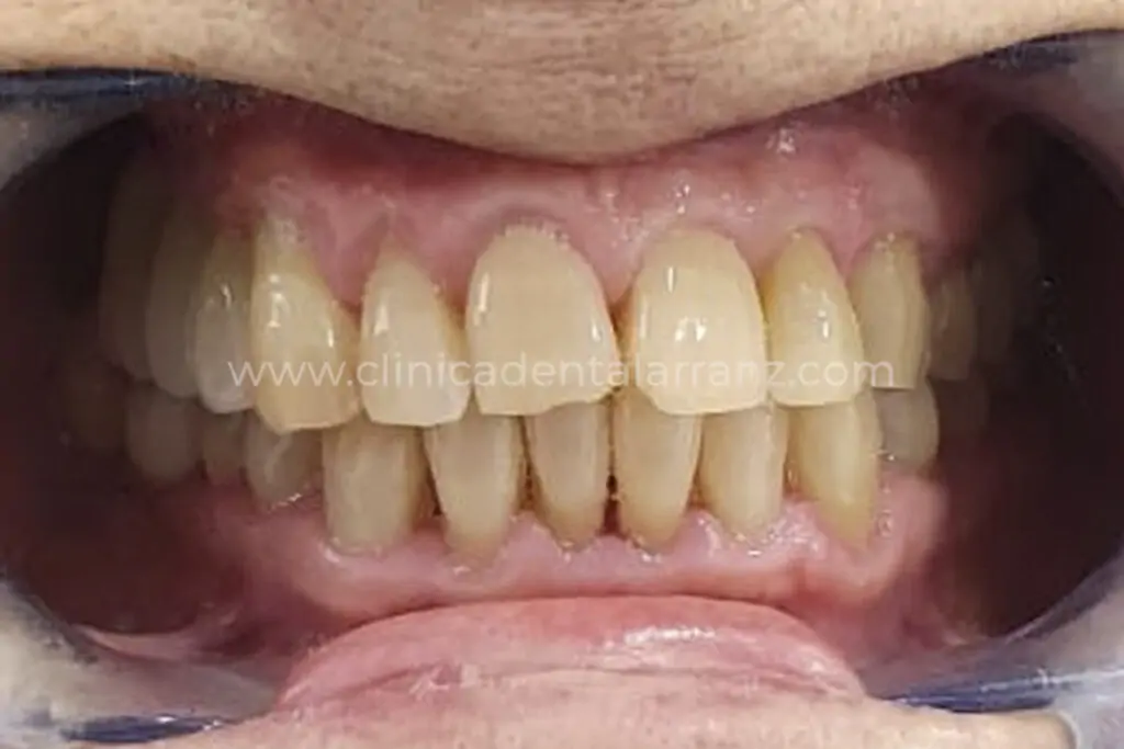
Success Stories

Restore your smile with fixed, functional, and aesthetically natural teeth. Thanks to prosthodontics, we offer high-precision fixed prostheses. Only in very specific cases (such as cancer patients or those with specific medical conditions) is a removable prosthesis used temporarily.

Choosing Arranz Dental means trusting a clinic with experience, advanced technology, and close support at every stage of treatment.

Because more than just teeth, we restore confidence, well-being, quality of life, and above all, self-esteem.

girl

Testimonials from our patients